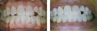
Ready to enhance your natural smile? Professional tooth whitening offers a safe, effective way to remove years of staining and discoloration, revealing the brighter smile you deserve. At Hillcrest Dental, Dr. Andy Keith specializes in customized whitening treatments that deliver noticeable, long-lasting results while prioritizing your comfort and oral health.
Our experienced team takes the time to understand your goals and concerns, creating a personalized whitening plan that fits your lifestyle and delivers the level of brightness you desire.






