Looking for a proven way to address stained, chipped, or misaligned teeth without extensive orthodontic work? Dental veneers might be your perfect solution. At Hillcrest Dental, we’ve helped countless patients overcome their smile insecurities using these custom-crafted porcelain shells. Unlike traditional treatments that can take months or years, veneers offer a swift transformation while maintaining the health of your natural teeth.
Veneers
![]()
Understanding Veneers
Dental veneers, also known as porcelain laminates, represent a sophisticated advancement in cosmetic dentistry. These custom-made shells are precisely designed to cover the front surface of your teeth, offering a comprehensive solution for various aesthetic concerns.
The process involves removing a minimal amount of enamel (approximately 0.5mm) to ensure a perfect fit and natural appearance. What sets veneers apart is their ability to simultaneously address multiple cosmetic issues while preserving the structural integrity of your natural teeth.

Benefits of Veneers
![]()


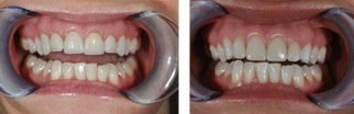
CL had 6 veneers placed about 20 years ago. The teeth had shifted (CL had orthodontics done but never wore her retainer) and she wanted to “re-straighten” the teeth as well as improve the cosmetics. She said the veneers looked like they had grown there.
Our Veneer Procedure
Expert Smile Assessment
Our detailed evaluation starts with advanced digital imaging and thorough examination of your teeth’s structure, color, and alignment. During this visit, we’ll discuss your specific concerns about your smile and review photos of results you like. We use this information to create a preview of how your veneers will look, letting you visualize your potential results before treatment begins.
Digital Veneer Design
Using precise measurements and 3D imaging technology, we create a detailed blueprint for your porcelain veneers. This personalized design phase considers your facial symmetry, bite alignment, and desired improvements. We’ll work together to select the ideal shape, shade, and characteristics for your custom veneers, ensuring they complement your natural features.
Precise Preparation & Temporaries
We carefully prepare your teeth by removing minimal enamel to ensure proper veneer fit and placement. You’ll wear comfortable temporary veneers while our master ceramist crafts your permanent set. This trial period allows you to experience how your new smile feels and provides an opportunity for any adjustments before final placement.
Custom Veneer Placement
The placement of your permanent veneers involves meticulous attention to detail. We ensure perfect alignment, bite comfort, and natural-looking results through careful bonding and precise adjustments. Each veneer is individually checked for fit, color match, and comfort before final cementation.
Comprehensive Care Review
We schedule a follow-up appointment to verify your complete satisfaction with your new veneers. Our team provides detailed care instructions and answers any questions about maintaining your results. Regular check-ups help ensure your veneers continue performing optimally for years to come.

![]()
Why Choose Us for Veneers
Our expertise in veneer placement goes beyond technical skill – we focus on creating naturally beautiful results that match your facial features and personality. The dental team at Hillcrest Dental combines advanced digital imaging technology with precise hand-crafting techniques to ensure your veneers look, feel, and function exactly as intended.
We take time to understand your specific concerns and desired outcomes, ensuring each veneer is customized to enhance your unique smile characteristics while maintaining optimal oral health.

Explore Your Veneer Possibilities Today!
Stop putting off the smile improvements you’ve been considering. Schedule your veneer consultation at Hillcrest Dental by calling 619-291-2980 or booking online through our website. Our experienced team will answer your questions and help determine if veneers are right for you.
FAQs
How long do veneers last?
Our patients see an average lifespan of 15-20 years from their porcelain veneers when following proper care guidelines. The latest veneer materials resist wear significantly better than older options, especially against common staining agents like coffee and wine. A consistent oral hygiene routine and regular dental visits can extend their lifespan even further.
Are veneers permanent?
Think of veneers as a permanent change to your tooth structure rather than a permanent restoration. The enamel modification needed for placement cannot be reversed, though the veneers themselves will need replacement eventually. This distinguishes them from temporary solutions like bonding or whitening treatments.
Can you get veneers with missing teeth?
Missing teeth require specific treatment planning when considering veneers. We often design hybrid solutions combining implants for missing teeth with veneers on existing teeth. This strategic approach ensures uniform appearance and proper bite function across your entire smile.
Do veneers hurt?
Unlike major dental procedures, veneer placement typically causes minimal disruption to your daily routine. The preparation process affects only the outermost enamel layer, requiring just local numbing for comfort. Most patients return to work the same day and report only brief sensitivity to temperature changes.
Can you whiten veneers?
Porcelain veneers maintain their original color indefinitely, resisting stains better than natural teeth. Unlike tooth enamel, which is porous and can be bleached, veneer material has a non-porous surface that repels staining agents. This color stability eliminates the need for whitening treatments.
Can you eat with veneers?
Modern veneers handle normal eating habits remarkably well, withstanding about 70% of the bite force of natural teeth. While you’ll need to avoid crushing ice or biting fingernails, regular foods pose no issues. The bonding technology used today creates a connection stronger than the original tooth enamel.

